Parodontose oder Parodontitis? Entstehung, Erkennung, Behandlung.
Inhaltsübersicht:
Der Bergriff Parodontose ist „im Volksmund“ weit verbreitet, in Wahrheit aber haben die meisten Menschen aber keine Parodontose, sondern eine Parodontitis. Aber wo liegen die Unterschiede?
Parodontose oder Parodontitis? Wie erkennt man diese Zahnkrankheiten?
Der Begriff Parodontose hat heute nur noch historische Bedeutung, gemeint ist ein Gewebsschwund des Zahnbetts ohne Entzündung. Bei der Parodontose geht der Zahnbettschwund vom Knochen aus und wirkt sich dann weiter auf das Bindegewebe und Zahnfleisch aus. Typisch ist, dass nahezu gleichzeitig das gesamte Gebiss betroffen ist. Da der Knochenabbau ohne Entzündung in der Praxis quasi nicht vorkommt, ist der Begriff Parodontose im zahnärztlichen Sprachgebrauch so gut wie nicht existent. Denn in dem Moment, wo eine Entzündung vorliegt, spricht der Zahnarzt von einer Parodontitis.

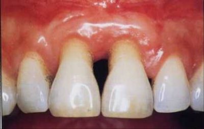
Parodontitis ist eine Entzündung des Zahnfleisches, die durch Bakterien ausgelöst wird. Sie ist die häufigste Form einer Zahnhalteapparaterkrankung. Hierbei vertiefen sich die Zahnfleischtaschen, das knöcherne Zahnfach bildet sich zurück und die Zahnwurzel verliert an Halt. Bei der Parodontitis unterscheidet man zwei Formen der Erkrankung:
- Apikale Parodontitis: sie geht von der Zahnwurzelspitze aus
- Marginale Parodontitis: diese Form geht vom Zahnfleischsaum aus. Die marginale Parodontitis ist die häufiger auftretendere Erkrankung.
Beide Formen der Erkrankungen können aber auch in einander übergehen.
Wie entsteht Parodontitis?
Eine Parodontitis entsteht in der Regel durch eine nicht hinreichende Mundreinigung und Pflege der Zähne. Zwischen den Zähnen und dem Zahnfleisch bzw. in den Zahnfleischtaschen bilden sich Bakterien, die als Plague oder Biofilm bezeichnet werden. Die aus dem bakteriellem Stoffwechsel freigesetzten Substanzen führen zu einer Entzündung des Zahnfleisches. Wie jede andere Entzündung im Körper auch, reagiert der Körper auf diese und das Immunsystem wird aktiv. Als Reaktion tritt Zahnfleischbluten auf, da das Immunsystem Enzyme bildet, die die Bakterien zerstören, dabei aber auch gesunde Zellen des Zahnfleisches angreifen und es somit zur Blutung kommt.
Im weiteren Verlauf der Krankheit kommt es zu einem Rückgang des Zahnfleisches, zur Vertiefung der Zahnfleischtaschen und zuletzt zur Lockerung und Ausfall der Zähne. Neben der mangelnden Mundhygiene gibt es noch weitere Ursachen, wie Rauchen, Medikamente oder Diabetis mellitus. Eine Ansteckung von Mensch zu Mensch wird ebenfalls nicht ausgeschlossen.
Wie wird Parodontitis behandelt?
Befund: Der Zahnarzt bestimmt den Grad der Parondontitis, indem er zuerst den Gesamtzustand der Zähne untersucht, den Patienten auf die Art und Weise der Mundpflege anspricht und die Tiefe der Zahnfleischtaschen misst. Bei einigen Patienten wird darüber hinaus noch ein Röntgenbild des Gebisses gemacht, um eventuelle Schäden am Kieferknochen zu diagnostizieren.
Entzündung beseitigen: In der Regel besteht die Therapie darin, die Entzündung des Zahnfleisches zu beseitigen. Dazu werden die Brutstätten der Bakterien beseitigt. Durch eine perfekte Entfernung aller harten und weichen Zahnbeläge ober- und unterhalb des Zahnfleisches entfernt der Zahnarzt oder eine speziell ausgebildete Fachkraft den Biofilm (Plaque).
Antibiotikatherapie: Zur Unterstützung der genannten Massnahmen können auch Antibiotika verabreicht werden, die entweder direkt in den Zahnfleischtaschen aufgetragen oder oral verschrieben werden. Hierzu ist es aber sinnvoll die Bakterien im Labor bestimmen zu lassen, um das richtige Antibiotikum einzusetzen.
„Einschneidende“ Maßnahmen: Ist die Parodontitis stark ausgeprägt, oder aber durch die genannten Massnahmen nicht in den Griff zu bekommen, wird der Zahnarzt das Zahnfleisch einschneiden und die Plague entfernen. Im Allgemeinen lassen sich die Beläge ohne diesen chirurgischen Eingriff entfernen. Falls ein chirurgischer Eingriff dennoch notwendig wird, löst der Zahnarzt das Zahnfleisch (unter Lokalanästhesie) vom Knochen ab und entfernt dann die Zahnbeläge „unter Sicht“.
Ist zudem der Knochen angegriffen, muss dieser entweder mit eigenem Knochenmaterial oder mit Knochenersatzmaterialien (Guided Bone Regeneration – GBR) aufgebaut oder mit einer Membran (Guided Tissue Regeneration – GTR) abgedeckt werden. Die Membran verhindert, dass schnellwachsendes Zahnfleisch Knochen und Stützzellwachstum beeinträchtigt.
Wie sind die Heilungschancen?
Stoppen ja, rückgängig nein. Der krankhafte Prozess einer Parodontitis kann nur gestoppt, aber nicht rückgängig gemacht werden. Wird die Parodontitis rechtzeitig erkannt und behandelt, kann man den Krankheitsverlauf stoppen, bzw. die Bakterien beseitigen. Ziel der Maßnahmen ist es, die Zahnfleischtaschen stabil zu halten und die Bakterienflora positiv zu beeinflussen. Wichtig ist, dass der Patient die vom Zahnarzt vorgeschriebenen Hygienemaßnahmen umsetzt, um einer weiteren Erkrankung entgegen zu wirken. Neben der Zahnbürste gibt es hier Zahnseide, Interdentalzahnbürsten und Mundspülungen, die bei der Reinigung unterstützend eingesetzt werden. Je nach Schwere der Erkrankung wird der Zahnarzt in regelmässigen Abständen Kontrolluntersuchungen vornehmen, um frühstmöglich eine weitere Parodontitis zu verhindern.
Keine Alternative zur Behandlung! Unbehandelt führt die Parodontitis zum Verlust der Zähne was ästhetische und funktionelle Beeinträchtigungen nach sich zieht. Unabhängig davon erhöht sich das Risiko weiterer Erkrankungen, wie Herz-Kreislauferkrankungen oder verschiedene Rheumaerkrankungen, da die Entzündung im Körper das Immunsystem nachhaltig schwächt. Daher sollte man unbedingt mit einer Parodontitis zum Fachmann – dem Zahnarzt gehen.
Letzte Suchanfragen, die zu diesem Beitrag führten:
- zahnkrankheiten (51)
- parodontose wiki (50)
- parodontose (35)
- parodontose wikipedia (19)
- was macht man bei paradontose (1)

